Actualidad
Actualidad
Política
Política
Empresa
Empresa
Opinión
Opinión
Inmobiliaria
Inmobiliaria
Agenda Empresarial
Agenda Empresarial

¿Por qué aparecen las manchas blancas en los dientes?

Edgar Quiñónez
18 de agosto, 2021

Las manchas blancas en los dientes pueden aparecer por diferentes motivos y relacionarse a distintos factores. Significan para quien las lleva un problema estético y muchas veces, también una afección subyacente.

En algunos casos son una señal que indica que la higiene dental está fallando, que la placa bacteriana se está acumulando y los elementos dentarios están perdiendo sus minerales. Pero otras veces pueden generarse por otras situaciones y en este artículo te las detallamos.

Conocer su origen permite determinar el tratamiento a realizar. En la mayoría de los casos, tienen solución y el paciente puede volver a lucir una sonrisa bonita. Sigue leyendo para conocer más sobre las manchas blancas en los dientes.


Esta nota también te puede interesar: Dormir mucho puede ser culpa de tus genes, esto dicen los expertos


¿Qué son las manchas blancas en los dientes?

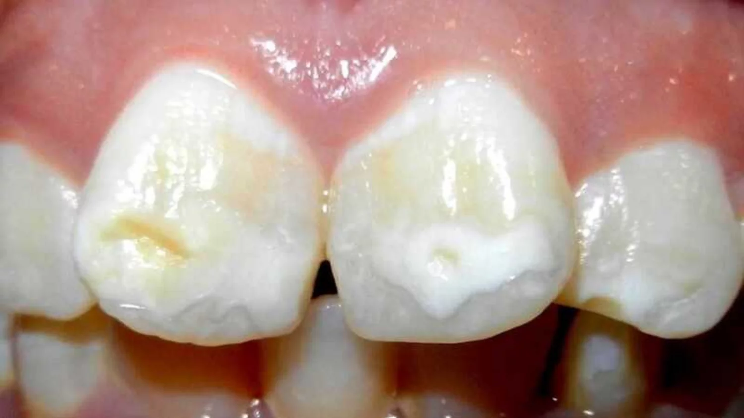
Las manchas blancas en los dientes se observan como un cambio de coloración sobre la superficie del esmalte dentario. Se ven como zonas de un aspecto blanco mate seco, que contrasta con el blanquecino amarillento o grisáceo brillante normal de la pieza dentaria.

Son bastante comunes y su aparición está relacionada a varios factores, siendo la falta de higiene dental la causa más frecuente. El consumo excesivo de alimentos azucarados o el inicio de las caries. Pueden aparecer tanto en niños como en adultos, en elementos dentarios temporales y definitivos. Su aparición no solo supone un problema de salud, sino también estético.

¿Cómo se eliminan las manchas blancas en los dientes?

Como ya lo adelantamos, es necesario determinar la causa de las manchas blancas en los dientes para decidir qué tratamiento utilizar para revertirlas. Acudir al odontólogo permite obtener un diagnóstico certero y planificar la terapéutica indicada para cada caso particular.

Flúor terapéutico

El flúor se utiliza para tratar las manchas blancas ocasionadas por descalcificaciones y los primeros estadios de las caries. Aplicar el elemento de manera local sobre las piezas dentarias permite que las mismas se remineralicen.

El tratamiento lo realiza el odontólogo en el consultorio, colocando el flúor sobre la superficie dentaria, dejándolo actuar un tiempo. El mismo se presenta en forma de geles, barnices o espumas que contienen una alta concentración del mineral.

Luego de colocar el producto, el dentista indicará al paciente no comer, beber ni enjuagarse la boca por unas horas. Además, indicará cada cuánto repetir las aplicaciones para revertir la lesión.

Microabrasión dental

Esta terapéutica es útil para tratar manchas blancas superficiales. El procedimiento consiste en pulir la zona del diente afectada con instrumental rotatorio o ácidos especiales. Luego, la porción del diente intervenido se rellena con composites del mismo color de la pieza dentaria.

Empastes

Otra manera de eliminar las manchas de los dientes es a través de la colocación de empastes. Se utilizan para manchas más grandes y más profundas.

Aquí hay que eliminar el tejido afectado con instrumental rotatorio y dejar una cavidad. La misma se rellena con composites del mismo color del diente que se unen a través de sistemas de adhesivos especiales.

El material que se utiliza tiene una consistencia similar a la masilla, permitiendo que el dentista pueda moldearla y darle el aspecto que desee. Al finalizar, se aplica una luz especial que endurece el material y luego se pule el empaste para darle el acabado final.

Carillas o coronas dentales

Estas opciones se consideran para los casos más severos, cuando hay grandes zonas afectadas y las manchas se ocasionaron por problemas durante el desarrollo, como las hipoplasias y la fluorosis. Las carillas o coronas permiten cubrir las imperfecciones, dando un aspecto natural a las piezas dentarias.

Las carillas se caracterizan por colocarse en la porción frontal del diente. Previamente se debe hacer un pequeño desgaste sobre la pieza dentaria para otorgarle sostén. Las mismas están confeccionadas de composite o de porcelana, lográndose una óptima estética.

En cambio, las coronas cubren la totalidad de los dientes, como un tapón. También es necesario tallar la pieza dentaria para colocarlas, siendo necesario un desgaste mayor.


Prevención

  • Higiene dental adecuada: evitar la acumulación de placa bacteriana previene la pérdida de minerales de las piezas dentarias. Cepillar los dientes de manera exhaustiva tres veces al día, utilizar hilo dental, pasta con flúor y complementar con enjuagues bucales es fundamental. Los pacientes con brackets deberán prestar especial atención a la higiene minuciosa de su boca, procurando llegar a todas las zonas de la cavidad oral.
  • Evitar el consumo excesivo de flúor: conocer los niveles de flúor del agua de bebida, evitar utilizar suplementos que contengan el mineral sin indicación médica y usar la cantidad de pasta dental adecuada para cada edad evitará fluorosis en los niños.
  • Alimentación saludable: llevar una dieta equilibrada y nutritiva evita la carencia de minerales que podrían ocasionar descalcificaciones en los dientes. Evitar los alimentos procesados, ácidos y con alto contenido de azúcar también ayudará a disminuir el riesgo de manchas blancas en los dientes.
  • Visitar regularmente al dentista: consultar de manera frecuente al odontólogo permite detectar cualquier problemática a tiempo para tratarla de manera oportuna. Las limpiezas profesionales y los consejos que aporta el dentista ayudan a controlar la placa bacteriana y mantener la boca saludable.
  • TAGS RELACIONADOS:
  • salud
SUSCRÍBASE A NUESTRO NEWSLETTER DE VIVE

¿Por qué aparecen las manchas blancas en los dientes?

Edgar Quiñónez
18 de agosto, 2021

Las manchas blancas en los dientes pueden aparecer por diferentes motivos y relacionarse a distintos factores. Significan para quien las lleva un problema estético y muchas veces, también una afección subyacente.

En algunos casos son una señal que indica que la higiene dental está fallando, que la placa bacteriana se está acumulando y los elementos dentarios están perdiendo sus minerales. Pero otras veces pueden generarse por otras situaciones y en este artículo te las detallamos.

Conocer su origen permite determinar el tratamiento a realizar. En la mayoría de los casos, tienen solución y el paciente puede volver a lucir una sonrisa bonita. Sigue leyendo para conocer más sobre las manchas blancas en los dientes.


Esta nota también te puede interesar: Dormir mucho puede ser culpa de tus genes, esto dicen los expertos


¿Qué son las manchas blancas en los dientes?

Las manchas blancas en los dientes se observan como un cambio de coloración sobre la superficie del esmalte dentario. Se ven como zonas de un aspecto blanco mate seco, que contrasta con el blanquecino amarillento o grisáceo brillante normal de la pieza dentaria.

Son bastante comunes y su aparición está relacionada a varios factores, siendo la falta de higiene dental la causa más frecuente. El consumo excesivo de alimentos azucarados o el inicio de las caries. Pueden aparecer tanto en niños como en adultos, en elementos dentarios temporales y definitivos. Su aparición no solo supone un problema de salud, sino también estético.

¿Cómo se eliminan las manchas blancas en los dientes?

Como ya lo adelantamos, es necesario determinar la causa de las manchas blancas en los dientes para decidir qué tratamiento utilizar para revertirlas. Acudir al odontólogo permite obtener un diagnóstico certero y planificar la terapéutica indicada para cada caso particular.

Flúor terapéutico

El flúor se utiliza para tratar las manchas blancas ocasionadas por descalcificaciones y los primeros estadios de las caries. Aplicar el elemento de manera local sobre las piezas dentarias permite que las mismas se remineralicen.

El tratamiento lo realiza el odontólogo en el consultorio, colocando el flúor sobre la superficie dentaria, dejándolo actuar un tiempo. El mismo se presenta en forma de geles, barnices o espumas que contienen una alta concentración del mineral.

Luego de colocar el producto, el dentista indicará al paciente no comer, beber ni enjuagarse la boca por unas horas. Además, indicará cada cuánto repetir las aplicaciones para revertir la lesión.

Microabrasión dental

Esta terapéutica es útil para tratar manchas blancas superficiales. El procedimiento consiste en pulir la zona del diente afectada con instrumental rotatorio o ácidos especiales. Luego, la porción del diente intervenido se rellena con composites del mismo color de la pieza dentaria.

Empastes

Otra manera de eliminar las manchas de los dientes es a través de la colocación de empastes. Se utilizan para manchas más grandes y más profundas.

Aquí hay que eliminar el tejido afectado con instrumental rotatorio y dejar una cavidad. La misma se rellena con composites del mismo color del diente que se unen a través de sistemas de adhesivos especiales.

El material que se utiliza tiene una consistencia similar a la masilla, permitiendo que el dentista pueda moldearla y darle el aspecto que desee. Al finalizar, se aplica una luz especial que endurece el material y luego se pule el empaste para darle el acabado final.

Carillas o coronas dentales

Estas opciones se consideran para los casos más severos, cuando hay grandes zonas afectadas y las manchas se ocasionaron por problemas durante el desarrollo, como las hipoplasias y la fluorosis. Las carillas o coronas permiten cubrir las imperfecciones, dando un aspecto natural a las piezas dentarias.

Las carillas se caracterizan por colocarse en la porción frontal del diente. Previamente se debe hacer un pequeño desgaste sobre la pieza dentaria para otorgarle sostén. Las mismas están confeccionadas de composite o de porcelana, lográndose una óptima estética.

En cambio, las coronas cubren la totalidad de los dientes, como un tapón. También es necesario tallar la pieza dentaria para colocarlas, siendo necesario un desgaste mayor.


Prevención

  • Higiene dental adecuada: evitar la acumulación de placa bacteriana previene la pérdida de minerales de las piezas dentarias. Cepillar los dientes de manera exhaustiva tres veces al día, utilizar hilo dental, pasta con flúor y complementar con enjuagues bucales es fundamental. Los pacientes con brackets deberán prestar especial atención a la higiene minuciosa de su boca, procurando llegar a todas las zonas de la cavidad oral.
  • Evitar el consumo excesivo de flúor: conocer los niveles de flúor del agua de bebida, evitar utilizar suplementos que contengan el mineral sin indicación médica y usar la cantidad de pasta dental adecuada para cada edad evitará fluorosis en los niños.
  • Alimentación saludable: llevar una dieta equilibrada y nutritiva evita la carencia de minerales que podrían ocasionar descalcificaciones en los dientes. Evitar los alimentos procesados, ácidos y con alto contenido de azúcar también ayudará a disminuir el riesgo de manchas blancas en los dientes.
  • Visitar regularmente al dentista: consultar de manera frecuente al odontólogo permite detectar cualquier problemática a tiempo para tratarla de manera oportuna. Las limpiezas profesionales y los consejos que aporta el dentista ayudan a controlar la placa bacteriana y mantener la boca saludable.
  • TAGS RELACIONADOS:
  • salud

¿Quiere recibir notificaciones de alertas?